Entre em contato com o CEANNE, uma estrutura que conta com uma equipe multidisciplinar de profissionais com vasta experiência. Conheça o que há de excelência em Neurocirurgia.
Para informações sobre horários disponíveis, entre em contato com nosso atendimento.
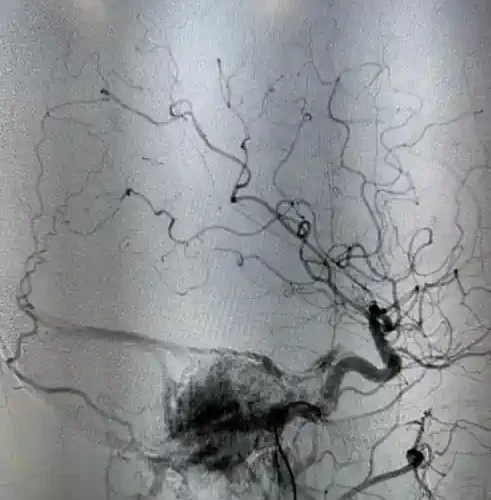
A neurocirurgia é a cirurgia do sistema nervoso, que inclui o cérebro, a coluna e os nervos. É uma especialidade médica que requer alta precisão, habilidade e conhecimento para tratar doenças complexas e melhorar a vida dos pacientes. Os neurocirurgião é o médico responsável pelo tratamento e remoção dos tumores cerebrais.
Neurologia é a especialidade médica que se dedica ao estudo e tratamento das doenças que afetam o sistema nervoso central e periférico. Os neurologistas utilizam métodos clínicos, exames complementares e terapias medicamentosas para diagnosticar e tratar as diversas condições neurológicas, sem recorrer à cirurgia.
A telemedicina em neurocirurgia tem revolucionado o acesso ao atendimento especializado, permitindo diagnósticos e consultas a distância. Isso é especialmente benéfico para pacientes em áreas remotas, que agora podem receber cuidados de alta qualidade sem a necessidade de viagens longas e dispendiosas.

Na tomada de conduta médica usamos não somente nossa grande experiência em doenças neurológicas e neurocirurgica, mas também nossos protocolos que são baseados em evidências clínico-epidemiológicas de alto impacto.

Selecionamos o médico mais experiente da equipe em sua doença para ser o líder da equipe que irá tratá-lo. temos parceiras com universidades internacionais renomadas dos Eua e Europa.

Vários subespecialistas, além de fisioterapia, fonoaudiologia, enfermagem, entre outros profissionais, fazem parte de nossa equipe.
Foi minha primeira consulta com Dr Gustavo, muito profissional, educado é realmente comprometido no atendimento! Tenho certeza de estar em boas mãos! Obrigado
Ele é maravilhoso, humano e muito querido… Ele é calmo, educado. Adoro ele… Aliás minha família adora este médico. Obrigada doutor!
Ótimo atendimento, profissional empático, sem dúvida quanto ao diagnóstico, satisfeita, muito obrigada.
Excelente profissional assim como sua equipe. Fiz cirurgia a 1 ano e meio e até hoje se faz muito atencioso e acessível. Só gratidão!
Somos de Caxias do Sul e fomos recebidos com muito carinho pela secretária Beatriz. Dr Gustavo é excelente médico. Nós sentimos muito seguros
“Saindo de sua sala, eu e minha esposa tínhamos certeza de ter encontrado o profissional certo”
Ótimo profissional, já temos um bom tempo de tratamento e sempre foi um excelente médico, recomendo!
O Dr é simplesmente um profissional incrível, tanto no procedimento realizado (cirurgia) quanto nas consultas, ressalto até na postura empática que o mesmo se reportou junto a mim e meus familiares no momento do procedimento cirúrgico. Me falta palavras a não ser gratidão! Dr, quem está em suas mãos, certamente será bem atendido.
Fomos extremamente certeiros na escolha do profissional para o melhor tratamento. Excelente profissional.
Ótimo profissional muito eficiente no seu trabalho, doutor no qual podemos confiar…
“Sou muitíssimo grata pelo profissionalismo, responsabilidade e dedicação”
“Era uma cirurgia delicada e foi resolvida sem sequela alguma”
Excelente!!! Sou muito grato a toda a equipe médica, fiz a cirurgia do Neurinoma do acústico, graças a Deus e a equipe médica correu tudo bem.
Gostaria de agradecer ao dr por ser esse profissional competente e de fé se não fosse seu profissionalismo competência eu não estaria andando e viva porq minhas chances de óbito era grande mas Deus colocou o dr e sua equipe na minha vida obrigado não tem dinheiro q pague minha gratidão
“Minha segunda consulta online com o Dr Gustavo Isolan e achei otima”
Excelente profissional. Cirurgia considerada caso de sucesso. Simpático, atencioso, explica tudo muito bem, acessivel. Só temos a agradecer.
Excelente médico atencioso com muita capacitação profissional e experiência passa muita segurança e confiança.
Excelente profissional. O melhor em sua especialidade. Salvou a vida de minha filha. Estudioso de sua área sempre se atualizando.
Ótimo médico, super atencioso, tanto ele quanto sua equipe, faço tratamento desde 2019 e sempre fui muito bem atendida. Recomendo ele a todos que me pedem uma recomendação de Neurologista.
Excelente médico, atencioso, explica muito bem e é paciente com seus pacientes. Retornarei satisfeita.
Ótimo primeiro atendimento, transmite confiança e nos deixa mais tranquilos dentro do possível. Demonstra conhecimento neurocirurgião.
Profissional extremamente responsável pelo paciente e por sua enfermidade. Acolhedor e comprometido com a vida de seus pacientes.
Melhor neurocirurgião, salvou minha vida 3 vezes. Profissional humano e muito comprometido com seus pacientes, meu anjo da guarda.
Objetivo, cortez,interessado em solucionar. Superou as expectativas e honesto em suas opiniões. Aprovado integralmente.
“Foram preservados todos meus movimentos, onde não tive nenhuma sequela”
“I sincerely thank Prof. G Isolan, for everything from my heart”
É um ótimo doutor, super atencioso! Digo porque tive um glioma no cérebro e fiz uma biópsia com ele.
Excelente profissional e um ser humano de qualidade ímpar. Fiz uma cirurgia de retirada de um tumor (paraganglioma de glômus jugular). Se indico? Com certeza!
Excelente profesional. Humano, atento, ojala todos los doctores fueran como el. Sé que estoy en buenas manos.
Um excelente Dr, salvou a minha vida. É atencioso e se envolve com o paciente e família. Gratidão!
O médico passou muita segurança durante a consulta e após a cirurgia se mostrou bastante atencioso e preocupado com a minha condição como paciente.
Excelente profissional, muito atencioso e muito demonstra muito conhecimento. Parabéns.
Obrigada por tudo pela paciência explicação e principalmente pela minha cura.
Me deixou extremamente segura, em um momento muito deliciado. Calmo, atencioso e cuidadoso. Fez com que o momento e o tratamento fossem muito tranquilos. Serei eternamente grata a ele, pelo cuidado, apoio, e principalmente, pela vida!!!
Perfeito!!! Realizei cirurgia de um tumor na hipofise. Passa muita confiança. Muito Muito bom esse é fera mesmo!!!!
Dr. extremamente atencioso, profissional, respondeu todas minhas perguntas, me acalmou, profissional de alto gabarito. Muito obrigado.
O Dr. Gustavo Isolan, além de excelente profissional, é humilde, cativante e simpático. Seremos eternamente gratos pela sua dedicação.
Minha cirurgia foi realizada com grande sucesso que foi retirado um tumor no cérebro. Que foi realizada no ano de 2016.
Tenho a profunda gratidão ao Dr. Gustavo Isolan se hoje eu estou aqui digitando sem nenhuma dificuldade é graças a ele, ótimo Dr. Recomendo ele sempre que alguém me pergunta sobre algum neurologista cirurgião, todos os dias eu agradeço a Deus e a o Dr. Gustavo por esta aqui com saúde e bem.
